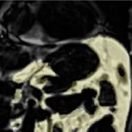
BODY COMPOSITION
Body composition
Visceral fat and muscle quality analysis beyond BMI.
From CHF 100

Our full-body MRI packages
Each MRI check-up includes a clear report and doctor consultation, starting at CHF 1,990.
Core
Duration: 45 min · No radiation, no contrast dye
Full-body, AI-accelerated MRI covering essential organs and the spine to check hidden risks like cancers, aneurysms, fatty liver or disc protrusions.
physicians
plan
doctor
Includes
- High-res full-body MRI
- Brain MRI
- Spine MRI
Advanced
Duration: 60 min · No radiation, no contrast dye
Everything in Core, plus reproductive organ imaging and an advanced blood test to reveal issues like inflammation, cholesterol, diabetes risk, and immune stress.
physicians
plan
doctor
Everything in Core, plus
- Advanced blood test
- Body compositionAI
- Prostate / Ovaries MRI
Pro
Duration: 80 min · No radiation, no contrast dye
Everything in Advanced, with added brain, hip and knee screening to spot early neurological and mobility changes, and hormone and essential-B-vitamins blood tests.
physicians
plan
doctor
Everything in Core and Advanced, plus
- Brain volumetryAI
- High-res hips & knees MRI
- Hormones & vitamins
Not sure which check-up is right for you?
Find the right starting point
Your health matters – to you, and your insurer
Multiple supplementary insurance plans contribute to the cost of our preventive check-ups. We've confirmed coverage with leading Swiss providers, with more joining. Reimbursement varies by plan.
Blood tests & MRI
Up to CHF 1'500 per year with the "Pulse Top" and "Pulse Premium" plans
Blood tests
Up to 80% covered, with max CHF 1'500 per year
Three simple steps to a clearer picture of your health

Before your appointment
Our team shares a simple MRI checklist and reviews your history or medications so you're fully prepared — no referral or fasting needed.

During your appointment
On arrival, you're welcomed and change into a gown. During the 35-minute MRI, you can listen to music or relax. It's safe, quiet, and comfortable.

After your appointment
Your results are double-reviewed by Swiss clinicians, and within days you receive a digital report and personal action plan.
Health reports without the headache
Medical data can be complex. Our interactive reports explain each result in simple terms with clear visuals.


Your recent health check-up provides a detailed overview of your health, showing some very positive developments alongside a few areas that warrant attention. The most notable findings are related to age-appropriate wear-and-tear in your spine.
Specialist consultation
Exercise, Nutrition

It's your body. Time to get the full picture.
Made for each other
The full-body MRI can be combined with other Ahead tests during the same visit to maximize health insights.
~ Shown values are illustrative samples.
Real results from real people
Every health journey is unique. Read how others took control of their health with Ahead.








